Blog
Rezorpsiyon Nedir? Türleri, Nedenleri ve Takibi
Rezorpsiyon, bir dokunun veya sert yapının (örneğin kemik ya da diş dokusu) parçalanmasıyla ortaya çıkan maddelerin vücut tarafından yeniden kullanılmak üzere geri emilmesiyle ilerleyen biyolojik bir süreçtir. [1]
- Rezorpsiyon ile Emilim Karışmasın: Temel Kavramlar
- Rezorpsiyon Mekanizması: Hücreler, Asit ve Enzimler
- Kemik Yenilenmesinde Denge: Rezorpsiyon Neden Gereklidir?
- Kemik Rezorpsiyonu Türleri: Fizyolojik, Lokal ve Sistemik
- Kemik Rezorpsiyonu ve Osteoporoz: Ne Zaman Şüphelenmeli?
- Diş Rezorpsiyonu Nedir? Süt Dişinde Normal, Daimi Dişte Uyarı
- Diş Rezorpsiyonu Türleri: İnternal ve Eksternal
- İnternal ve Eksternal Rezorpsiyonu Hızlı Karşılaştırma
- Rezorpsiyon Neden Olur? Nedenler ve Tetikleyiciler
- Rezorpsiyonla İlişkili Hastalıklar ve Klinik Tablolar
- Belirtiler: Rezorpsiyon Ne Zaman Düşündürür?
- Tanı: Hangi Testler Kullanılır, Ne Söyler?
- Rezorpsiyon Yönetimi: Temel İlkeler
- Beslenme ve Yaşam Tarzı: Kemik Rezorpsiyonunu Etkileyen 4 Alan
- Diş Rezorpsiyonu Riskini Azaltmak: Ağız Sağlığı Alışkanlıkları
- Rezorpsiyon Geri Döner mi? Net Bir Çerçeve
- Takip Planı: Kimler Daha Yakın İzlenmeli?
- Rezorpsiyon Hakkında Sık Sorulan Sorular
- Kaynaklar
Günlük dilde “erime” gibi anlatılsa da rezorpsiyon her zaman hastalık anlamına gelmez; büyüme, onarım ve yenilenme için gerekli olan fizyolojik bir döngünün parçası olabilir. [6] Ancak süreç hızlandığında veya yanlış yerde başladığında, kemik kütlesinde azalma ya da diş dokusunda geri dönüşsüz kayıplar gibi sorunlar görülebilir. [7]
Bu yazıda rezorpsiyonun ne olduğunu, kemik ve diş dokusunda nasıl geliştiğini, en sık karşılaşılan rezorpsiyon türlerini, olası nedenleri ve takipte kullanılan temel yöntemleri net ve anlaşılır biçimde ele alacağız.
Rezorpsiyon ile Emilim Karışmasın: Temel Kavramlar
Tıpta “emilim” genellikle dışarıdan alınan bir maddenin (besin, ilaç gibi) bağırsaktan kana geçmesini anlatır. Rezorpsiyon ise var olan bir dokunun veya mineralize yapının çözülmesi ve açığa çıkan ürünlerin yeniden dolaşıma katılmasıyla ilişkilidir. [1]
Benzer biçimde “geri emilim” terimi böbreklerde filtratın yeniden kana kazandırılmasını ifade eder. Kemik ve diş bağlamında konuştuğumuz rezorpsiyonda ise odağımız, osteoklast ya da odontoklast benzeri hücrelerin sert dokuyu çözerek mineral ve organik bileşenleri serbestleştirmesidir. [2]
Bu ayrımı netleştirmek önemlidir; çünkü aynı kelime farklı tıbbi bağlamlarda geçse de, nedenleri ve sonuçları birbirinden çok farklı olabilir.
Rezorpsiyon Mekanizması: Hücreler, Asit ve Enzimler
Kemik rezorpsiyonunun başrol oyuncusu osteoklasttır. Bu hücreler genellikle çok çekirdekli, büyük ve kemik yüzeyine sıkı biçimde tutunabilen yapılardır. [2]
Osteoklast kemik yüzeyine tutunduğunda, hücre ile kemik arasında kapalı bir “rezorpsiyon bölmesi” oluşur. Bu bölmede hidrojen iyonları pompalanarak asidik bir mikro-ortam yaratılır; böylece mineral kısım (hidroksiapatit) çözünür hale gelir. [4]
Mineral çözündükten sonra organik matriksin (özellikle kolajen liflerin) parçalanması için proteolitik enzimler devreye girer. Bu aşama, sert dokunun hem mineral hem de organik bileşenlerinin kontrollü biçimde ayrıştırılmasını sağlar. [2]
Diş dokusunda gözlenen rezorpsiyonda da benzer bir mantık vardır. Odontoklast benzeri hücreler, mine, dentin ve sement gibi dokuların koruyucu tabakası bozulduğunda bu yüzeylere tutunabilir ve doku kaybı başlatabilir. [17]
Kemik Yenilenmesinde Denge: Rezorpsiyon Neden Gereklidir?
Kemikler “sabit” yapılar değildir. Yaşam boyunca eski veya mikro-hasar görmüş kemik dokusu kaldırılır, ardından yeni kemik dokusu inşa edilir. Bu döngü kemik yenilenmesi (remodelling) olarak tanımlanır. [6]
Rezorpsiyon burada bir “temizlik” aşaması gibidir: hasarlı alan uzaklaştırılmadan, üzerine sağlam bir yapı kurmak zordur. Ayrıca kemik rezorpsiyonu, kalsiyum ve fosfor gibi minerallerin kan düzeylerinin dengelenmesine de katkı sağlar. [2]
Sağlıklı bir iskelette rezorpsiyon ve yeni kemik yapımı birbirine sıkı biçimde bağlıdır. Denge bozulduğunda ise net kemik kaybı gelişebilir; bu durum uzun vadede kemik kırığı riskini artırabilir. [7]
RANKL–RANK–OPG Sistemi Neden Önemli?
Osteoklastların sayısı ve aktivitesi rastgele artmaz. Vücut, osteoklast oluşumunu ve çalışmasını çeşitli sinyallerle düzenler. Bu düzenlemenin merkezinde RANKL–RANK–OPG sistemi yer alır. [5]
Basit anlatımla, RANKL osteoklast oluşumunu ve aktivitesini artıran bir “tetik” görevi görürken, OPG bu sinyali dengeleyen bir “fren” gibi davranır. Denge RANKL lehine kaydığında rezorpsiyon artma eğilimine girer. [5]
Kemik Rezorpsiyonu Türleri: Fizyolojik, Lokal ve Sistemik
Kemik rezorpsiyonu büyüme döneminde ve kemik onarımında normaldir. Çocukluk ve ergenlikte kemik yapımı genellikle rezorpsiyondan fazladır; böylece iskelet büyür ve güçlenir. [6]
Yetişkinlikte amaç, net kemik kütlesini koruyacak şekilde eski ve yeni doku arasında denge sağlamaktır. Bu nedenle rezorpsiyon, “ne kadar” ve “nerede” gerçekleştiğine göre fizyolojik ya da patolojik kabul edilir. [7]
Bazı durumlarda rezorpsiyon belirli bir bölgede lokal olarak artabilir. Örneğin diş çevresindeki kronik iltihabi süreçler alveol kemiğinde kayba yol açabilir. [14]
Bazı durumlarda ise rezorpsiyon sistemik bir dengesizliğin parçası olur. Östrojen azalması, paratiroid hormonunun fazla çalışması ya da uzun süreli kortikosteroid kullanımı gibi etkenler kemik döngüsünü tüm iskelette etkileyebilir. [7] [20] [19]
Kemik Rezorpsiyonu ve Osteoporoz: Ne Zaman Şüphelenmeli?
Kemik kütlesi zamanla azalabilir; bu azalma belirginleştiğinde “osteopeni” veya “osteoporoz” tanımları gündeme gelir. Kemik mineral yoğunluğu ölçümlerinde T-skoru -2,5 ve altı osteoporoz ile uyumludur; -1 ile -2,5 arası değerler ise osteopeni aralığıdır. [9]
Osteoporozda temel sorun çoğu zaman sessiz ilerlemesidir. Kişi ancak düşük enerjili bir düşme sonrası kırık yaşadığında fark edebilir. Bu nedenle tarama ve risk değerlendirmesi kritik önemdedir. [8]
ABD Önleyici Hizmetler Görev Gücü, kırıkları önlemek amacıyla 65 yaş ve üzerindeki kadınlarda osteoporoz taramasını önermektedir. Daha genç (postmenopozal) kadınlarda ise risk faktörleri varsa tarama düşünülür. [8]
Kemik kaybı riskini artırabilen yaygın durumlar
- İleri yaş ve menopoz sonrası dönem. [7]
- Yetersiz kalsiyum ve D vitamini alımı. [10] [11]
- Hareketsiz yaşam ve kas gücünde azalma. [12]
- Sigara kullanımı ve yüksek alkol tüketimi. [13]
- Uzun süreli kortikosteroid kullanımı; kemik kaybı ve kırık riski tedavinin ilk 3–6 ayında belirgin artış gösterebilir. [19]
- Primer hiperparatiroidizm gibi bazı hormonal bozukluklar. [20]
Diş Rezorpsiyonu Nedir? Süt Dişinde Normal, Daimi Dişte Uyarı
Diş rezorpsiyonu, dişin sert dokularında (dentin, sement ve bazen mine) madde kaybı ile giden fizyolojik veya patolojik bir süreç olarak tanımlanır. [1]
Süt dişlerinde kök rezorpsiyonu çoğunlukla fizyolojiktir; alttan gelen daimi dişin sürmesi için süt dişinin kökü planlı biçimde çözülür ve diş düşmeye hazırlanır. [17]
Daimi dişlerde ise rezorpsiyon istenmeyen bir durumdur. Çoğu zaman belirti vermeden ilerleyebilir ve geç fark edildiğinde diş dokusu kaybı geri döndürülemez olabilir. [17]

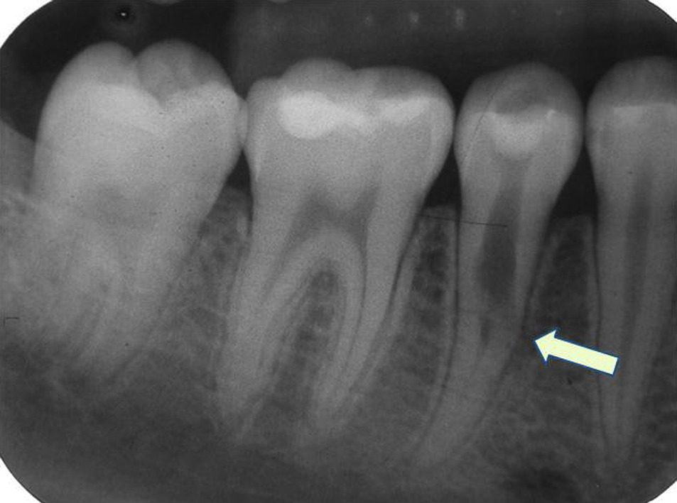
Diş Rezorpsiyonu Türleri: İnternal ve Eksternal
Diş rezorpsiyonu en pratik biçimde başladığı yere göre iki ana gruba ayrılır: internal (dişin içinden başlayan) ve eksternal (dişin dışından başlayan) rezorpsiyon. [1]
İnternal rezorpsiyon, pulpa boşluğundan başlar ve dentine doğru ilerler. Nadir görülür ve çoğu kez sinsi seyreder; erken dönemde ağrı veya belirgin şikâyet olmayabilir. [16]
Eksternal rezorpsiyon ise dişin kök yüzeyinden veya servikal bölgeden başlar ve içe doğru ilerler. İltihabi uyarılar, travma, bazı ortodontik kuvvetler veya komşu dokulardaki patolojiler tetikleyici olabilir. [16] [17]
İnternal rezorpsiyonun tipik özellikleri
İnternal rezorpsiyonun temel özelliği, pulpa boşluğunda başlayan rezorptif aktivitenin dentin duvarını inceltmesidir. [16]
- Çoğu olguda erken dönemde belirti yoktur; rutin kontrollerde çekilen görüntülerde tesadüfen saptanabilir. [16]
- Bazen “pembe leke” görünümü (özellikle kron bölgesinde damarların incelmiş dokudan yansıması) fark edilebilir. [16]
- İlerleyen aşamalarda dentin kaybı dişin zayıflamasına ve kırılma riskinin artmasına yol açabilir. [16]
Eksternal rezorpsiyonda sık karşılaşılan alt tipler
Eksternal rezorpsiyon tek bir tablo değildir; farklı mekanizmalarla ilerleyen alt tipleri vardır. Sınıflamalar değişebilse de klinikte en sık konuşulanlar; yüzey (geçici), inflamatuvar, replasman (ankilozla giden) ve servikal rezorpsiyondur. [1] [17]
- Yüzey rezorpsiyonu: Küçük bir travma veya irritasyon sonrası sınırlı doku kaybı görülür; uyarı ortadan kalkarsa süreç durabilir. [17]
- İnflamatuvar eksternal rezorpsiyon: Kök yüzeyinde iltihabi uyaranla hızlanır ve daha agresif seyredebilir. [17]
- Replasman rezorpsiyonu: Kök dokusu zamanla kemiksi doku ile yer değiştirir; diş-kemik bütünleşmesi (ankiloz) tabloya eşlik edebilir. [17]
- Servikal rezorpsiyon: Diş eti hizasına yakın servikal bölgede başlar ve erken dönemde belirti vermeden ilerleyebilir. [1]
İnternal ve Eksternal Rezorpsiyonu Hızlı Karşılaştırma
Aşağıdaki karşılaştırma, klinikte en sık kullanılan ayrımları özetler. [1] [16] [17]
| Kriter | İnternal rezorpsiyon | Eksternal rezorpsiyon |
| Başlangıç noktası | Pulpa boşluğu ve iç dentin yüzeyi | Kök yüzeyi/servikal bölge |
| Erken dönem belirti | Sıklıkla belirti vermez | Sıklıkla belirti vermez |
| Sık tetikleyiciler | Pulpa irritasyonu, travma, bazı enfeksiyonlar | Travma, iltihabi uyaranlar, ortodontik kuvvetler, komşu patolojiler |
| Görüntüleme ipucu | Pulpa kanalında simetrik genişleme | Kök yüzeyinde düzensiz madde kaybı, kontur bozulması |
| Genel yaklaşım | Erken tanı ve kök kanal sistemi kaynaklı sürecin kontrolü | Nedenin belirlenmesi, iltihabın kontrolü ve doku kaybının sınırlandırılması |
Rezorpsiyon Neden Olur? Nedenler ve Tetikleyiciler
Rezorpsiyonun “neden”i, etkilenen dokuya göre değişir. Kemikte amaç çoğu zaman yenilenmeyi sürdürmek ve mineral dengesini korumaktır. [2] Dişte ise daimi dişler söz konusu olduğunda rezorpsiyon çoğunlukla patolojik bir uyaranın işaretidir. [17]
Bu nedenle tek bir sebep listesi yerine, kemik rezorpsiyonu ve diş rezorpsiyonu için ayrı ayrı düşünmek daha doğrudur.
Kemik rezorpsiyonunu artırabilen başlıca etkenler
- Östrojen azalması gibi hormonal değişimler; osteoklast aktivitesini artırarak net kemik kaybını kolaylaştırabilir. [2]
- Paratiroid hormonunun fazla çalıştığı durumlar; kalsiyum dengesini sağlamak için rezorpsiyon yönünde baskı oluşturabilir. [20]
- Uzun süre hareketsiz kalma; kemik üzerine mekanik yük azalınca kemik yapım sinyalleri zayıflar ve denge rezorpsiyon lehine kayabilir. [6]
- Kronik inflamasyon ve bazı romatolojik hastalıklar; rezorptif sinyalleri artırabilir. [7]
- Kortikosteroid kullanımı; kemik yapımını azaltıp rezorpsiyonu artırarak kırık riskini yükseltebilir. [19]
Diş rezorpsiyonunu tetikleyebilen başlıca etkenler
- Dişe alınan darbe veya travma; koruyucu yüzeyler bozulduğunda rezorptif hücrelerin tutunmasını kolaylaştırabilir. [17]
- Diş kökü çevresindeki iltihap ve enfeksiyon odakları; inflamatuvar eksternal rezorpsiyonu hızlandırabilir. [17]
- Ortodontik tedavilerde uygulanan kuvvetlerin dozu ve süresi; bazı bireylerde kök rezorpsiyonu riskini artırabilir. [15]
- Kist, tümör veya komşu dişin basıncı gibi lokal patolojiler; diş dokusunu rezorpsiyon açısından savunmasız bırakabilir. [16]
Rezorpsiyonla İlişkili Hastalıklar ve Klinik Tablolar
Rezorpsiyon tek başına bir “tanı” değildir; daha çok altta yatan fizyolojik bir döngünün parçası ya da başka bir hastalığın sonucu olarak karşımıza çıkar. Burada en sık ilişkilendirilen tabloları net biçimde ayıralım.
Osteoporoz ve osteopeni
Osteoporoz, kemik kütlesinin ve mikro-mimarinin bozulduğu, kırık riskinin arttığı bir durumdur. Birçok olguda altta yatan mekanizma; kemik yapımı ile kemik rezorpsiyonu arasındaki dengenin rezorpsiyon lehine kaymasıdır. [7]
Osteoporoz tanısı ve risk takibi için en yaygın yöntem kemik mineral yoğunluğu ölçümüdür. DXA temelli ölçümlerde T-skorunun -2,5 ve altı osteoporozla uyumludur. [9]
Periodontal hastalıklar ve alveol kemiği kaybı
Periodontitis, dişi çevreleyen dokularda uzun süren iltihap sonucunda diş eti, bağ dokusu ve alveol kemiğinde yıkıma yol açabilen bir hastalıktır. [14]
Süreç ilerledikçe dişlerde sallanma ve sonunda diş kaybı görülebilir. Periodontal hastalığın kemik kaybı ile ilişkisi, ağız sağlığında “rezorpsiyon” kavramının en görünür örneklerinden biridir. [14]
Dünya Sağlık Örgütü, ağız hastalıklarının yaygınlığını vurgularken şeker tüketimi, tütün ve alkol kullanımının ağız sağlığı riskleriyle ilişkisini de belirtir. [13]
Primer hiperparatiroidizm
Paratiroid bezlerinin fazla paratiroid hormon üretmesi, kalsiyum dengesini etkileyerek kemik döngüsünde rezorpsiyon yönünde bir baskı oluşturabilir. [20]
Bu tür hormonal durumlarda tanı ve izlem, klinik değerlendirme ve laboratuvar testleriyle birlikte planlanır; kemik mineral yoğunluğu ölçümü de tabloya göre takipte kullanılabilir. [20]
Paget hastalığı
Paget hastalığında belirli kemik bölgelerinde anormal ve hızlanmış kemik yenilenmesi görülür. Temelde osteoklast aktivitesinin artmasıyla başlayan süreç, düzensiz bir yeniden yapımla devam eder. [21]
Sonuç olarak kemik büyüyebilir ama yapısal olarak zayıflayabilir; bazı kişilerde ağrı, deformite veya kırıklar gelişebilir. [21]
Belirtiler: Rezorpsiyon Ne Zaman Düşündürür?
Rezorpsiyonun en zor yanı, özellikle erken dönemde belirti vermeden ilerleyebilmesidir. Bu durum hem kemik kaybında hem de diş rezorpsiyonunda geçerlidir. [7] [17]
Kemik rezorpsiyonunda olası işaretler
Kemik kaybı çoğu kişide “ağrı” yapmadan ilerler. Şüpheyi artıran durum genellikle kırık, boy kısalması veya duruş değişikliği gibi bulgulardır. [8]
- Basit bir düşme veya hafif travma sonrası kırık gelişmesi. [8]
- Sırt ağrısı ile birlikte omurga kırığı şüphesi. [8]
- Boy kısalması veya kamburlaşmanın fark edilir hale gelmesi. [8]
Diş rezorpsiyonunda olası işaretler
Diş rezorpsiyonu çoğu zaman rutin diş hekimi kontrolünde görüntüleme ile saptanır. [17] Yine de bazı durumlarda aşağıdaki ipuçları ortaya çıkabilir.
- Soğuk-sıcak hassasiyetinde artış veya açıklanamayan diş ağrısı. [17]
- Diş eti çizgisine yakın bölgede renk değişikliği ya da “pembe leke” görünümü. [16]
- Dişte sallanma, diş etinde hassasiyet veya şişlik. [17]
Tanı: Hangi Testler Kullanılır, Ne Söyler?
Tanı yaklaşımı, rezorpsiyonun kemikte mi dişte mi olduğuna göre değişir. Ama her iki alanda da ortak ilke şudur: süreç çoğu zaman sessizdir; bu yüzden görüntüleme ve risk değerlendirmesi önem kazanır. [8] [17]
Kemik için: Kemik mineral yoğunluğu ve risk değerlendirmesi
Kemik mineral yoğunluğu ölçümü, osteopeni ve osteoporoz değerlendirmesinde temel araçtır. DXA temelli testler T-skoru gibi sayısal sonuçlar verir ve kırık riskini yönetmede kullanılır. [9]
Tarama kararında yaş, cinsiyet ve ek risk faktörleri birlikte düşünülür. 65 yaş ve üzerindeki kadınlarda tarama önerisi bu nedenle net biçimde vurgulanmıştır. [8]
Bazı kişilerde D vitamini düzeyi, kalsiyum dengesi ve paratiroid hormon gibi parametreler de kemik sağlığı değerlendirmesine dahil edilir. [10] [11] [20]
Diş için: Klinik muayene ve dental görüntüleme
Diş rezorpsiyonunda ilk adım detaylı klinik muayenedir. Dişin rengi, hassasiyeti, diş eti durumu ve travma/ortodonti öyküsü değerlendirilir. [17]
Çoğu olguda tanıyı destekleyen ana araç dental röntgen görüntüleridir. İki boyutlu görüntüler bazı lezyonları erken dönemde kaçırabilir; bu nedenle seçilmiş durumlarda üç boyutlu görüntüleme yöntemleri tanıyı netleştirmede yardımcı olabilir. [16] [17]
Rezorpsiyon Yönetimi: Temel İlkeler
Rezorpsiyon yönetiminde hedef, süreci tamamen “geri almak”tan çok, hızını kontrol altına almak ve dokuyu korumaktır. Kemikte bu, kırık riskini azaltmaya; dişte ise diş dokusu kaybını sınırlandırmaya odaklanır. [7] [17]
Bu hedefe ulaşmak için üç basamak aynı anda düşünülür: (1) altta yatan nedeni belirlemek, (2) uygun takip planını kurmak, (3) yaşam tarzı ve koruyucu önlemlerle riskleri azaltmak. [8] [17]
Kemik rezorpsiyonu için yaklaşım
Kemik kaybı ve kırık riski değerlendirmesi yapıldıktan sonra, hekim gerekli görürse ilaç tedavisi, beslenme düzenlemeleri ve egzersiz planını birlikte önerir. [22]
Bazı ilaçlar osteoklast aktivitesini baskılayarak (anti-rezorptif etki) kırık riskini azaltmaya yardımcı olabilir; hangi hastada hangi yaklaşımın uygun olacağı risk düzeyine ve eşlik eden hastalıklara göre belirlenir. [22]
Diş rezorpsiyonu için yaklaşım
Diş rezorpsiyonu saptandığında, tedavi planı rezorpsiyonun türüne ve yaygınlığına göre değişir. [1] [17]
Hekim; iltihabi uyaranı kontrol etmeyi, dokuyu mümkün olduğunca korumayı ve ilerlemeyi durdurmayı hedefler. Bazı olgularda kanal tedavisi benzeri endodontik işlemler gündeme gelebilir; ileri doku kaybında farklı cerrahi seçenekler veya çekim de değerlendirilebilir. [16] [17]
Beslenme ve Yaşam Tarzı: Kemik Rezorpsiyonunu Etkileyen 4 Alan
Kemik dokusu canlıdır ve günlük alışkanlıklardan güçlü biçimde etkilenir. Aşağıdaki başlıklar, kemik rezorpsiyonunu dolaylı olarak etkileyen en temel alanlardır.
1) Kalsiyum alımı
Yetişkinlerde günlük kalsiyum gereksinimi yaşa ve cinsiyete göre değişir. Örneğin 19–50 yaş arası yetişkinlerde önerilen miktar 1000 mg/gündür; 51 yaş ve üzeri kadınlarda ve 71 yaş ve üzeri erkeklerde öneri 1200 mg/gündür. [10]
Kalsiyumun mümkün olduğunca besinlerden alınması tercih edilir. Yetersiz alım söz konusuysa, takviye kararı kişisel risklere göre hekim tarafından verilmelidir. [10]
2) D vitamini düzeyi ve alımı
D vitamini, kalsiyumun emilimi ve kemik mineralizasyonu için kritik önemdedir. [11] NIH kaynaklarında 19–70 yaş aralığı için 600 IU (15 mcg), 71 yaş ve üzeri için 800 IU (20 mcg) günlük öneri olarak verilir. [11]
D vitamini ihtiyacı; güneşlenme, beslenme, cilt rengi ve bazı hastalıklara göre değişebileceği için, düzey düşükse takviye planı kişiye özel yapılmalıdır. [11]
3) Fiziksel aktivite ve kas gücü
Yetişkinler için Dünya Sağlık Örgütü, haftada en az 150–300 dakika orta şiddette aerobik aktivite veya 75–150 dakika yüksek şiddette aerobik aktivite önermektedir. [12]
Buna ek olarak, büyük kas gruplarını çalıştıran kuvvetlendirme egzersizlerinin haftada en az 2 gün yapılması önerilir. [12]
Kemik sağlığı açısından amaç, düzenli hareket ve kas gücüyle düşme riskini azaltmak ve kemik üzerine sağlıklı mekanik yük sağlamaktır. [6]
4) Tütün ve alkol
Tütün kullanımı ve yüksek alkol tüketimi, hem genel sağlık hem de ağız ve kemik sağlığı açısından risk faktörleri arasında gösterilir. [13]
Bu nedenle kemik kaybı riski yüksek olan kişilerde, bırakma/azaltma planı koruyucu yaklaşımın önemli bir parçasıdır. [13]
Diş Rezorpsiyonu Riskini Azaltmak: Ağız Sağlığı Alışkanlıkları
Diş rezorpsiyonunun tüm nedenleri “önlenebilir” değildir; travma veya bazı biyolojik yatkınlıklar rol oynayabilir. [17] Yine de ağız sağlığını güçlendiren alışkanlıklar, özellikle iltihapla ilişkili süreçlerde riski azaltmada önemlidir. [14]
Periodontitis, dişi destekleyen kemikte kayba yol açabilen bir hastalıktır. Plak kontrolü ve düzenli takip, bu tür kemik kaybının önlenmesinde temel kabul edilir. [14]
Günlük pratikte uygulanabilir adımlar
- Dişleri günde 2 kez, diş eti hattını hedefleyerek fırçalamak. [23]
- Ara yüz temizliğini günlük rutine eklemek (diş ipi veya ara yüz fırçası gibi). [23]
- Şekerli atıştırmaları ve sık ara öğünleri azaltmak; ağız sağlığı risklerini düşürmeye yardımcı olur. [13]
- Travma riskinin yüksek olduğu sporlarda koruyucu ağızlık kullanmak. [17]
- Ortodontik tedavi sürecinde kontrol randevularını aksatmamak; kök rezorpsiyonu riski açısından izlem önemlidir. [15]
Diş hekimi kontrolleri ne sıklıkla olmalı?
Kontrol aralığı “herkes için tek” değildir; kişinin çürük ve diş eti hastalığı riski değerlendirilerek planlanır. NICE yaklaşımında erişkinlerde rutin kontrol aralığı 3 ay ile 24 ay arasında değişebilir. [18]
Bu aralık, diş eti hastalığı veya sık çürük gibi riskler arttığında kısalır; ağız sağlığı stabil olduğunda uzayabilir. [18]
Rezorpsiyon Geri Döner mi? Net Bir Çerçeve
Bu soru çok sorulur ve cevabı dokunun türüne göre değişir. “Rezorpsiyon” kelimesi tek bir süreci anlatsa da, sonuçları kemik ve dişte aynı değildir.
Kemikte rezorpsiyon, doğal yenilenme döngüsünün parçasıdır. Altta yatan neden düzeldiğinde ve kemik yapımı yeterli olduğunda, kemik mineral yoğunluğunda iyileşme görülebilir. [7]
Buna karşın daimi dişte kaybedilen sert doku genellikle kendiliğinden yeniden oluşmaz. Bu nedenle diş rezorpsiyonunda erken tanı, kaybı sınırlamak açısından kritik kabul edilir. [17]
Osteoporoz gibi durumlarda hedef, kırık riskini azaltmak ve kemik kaybını yavaşlatmaktır; bazı tedaviler kemik mineral yoğunluğunu artırabilir ancak “tam geri dönüş” beklentisi gerçekçi olmayabilir. [22]
Takip Planı: Kimler Daha Yakın İzlenmeli?
Takip sıklığı, “risk düzeyi” ile doğru orantılıdır. Hem kemik sağlığında hem ağız-diş sağlığında, herkesin aynı aralıklarla kontrol edilmesi beklenmez.
Kemik mineral yoğunluğu takibinde aralık nasıl belirlenir?
DXA ölçümü tekrarı, tedavi kararı değişebilecekse veya klinik olarak anlamlı bir değişim bekleniyorsa planlanır. Uluslararası Klinik Densitometri Derneği, takip aralığının çoğu durumda en az 1–2 yıl olacağını, risk düzeyi düşük ve durum stabilse daha uzun aralıkların uygun olabileceğini belirtir. [24]
Diş rezorpsiyonunda takip neye göre değişir?
Diş rezorpsiyonunda takip, rezorpsiyonun türüne, ilerleme hızına ve tetikleyici nedenin kontrol altına alınıp alınmadığına göre planlanır. [17]
Rutin kontrollerde belirti olmasa bile, travma öyküsü olan veya ortodontik tedavi gören kişilerde diş hekimi gerek görürse daha sık görüntüleme ile izlem önerebilir. [15] [17]
Rezorpsiyon Hakkında Sık Sorulan Sorular
Rezorpsiyon en sık hangi dokularda önem kazanır?
Klinikte en çok kemik ve diş dokusundaki rezorpsiyon konuşulur. Bunun nedeni, her iki dokunun da mineralize olması ve rezorpsiyon dengesinin bozulduğunda belirgin yapısal kayıplara yol açabilmesidir. [2] [17]
Diş rezorpsiyonu mutlaka ağrı yapar mı?
Hayır. Daimi dişte rezorpsiyon çoğu zaman belirti vermeden ilerleyebilir ve rutin kontrolde fark edilebilir. [17] Ağrı, hassasiyet veya diş eti şikâyeti her zaman görülmez.
Kemik rezorpsiyonu ile osteoporoz aynı şey mi?
Kemik rezorpsiyonu, kemik yenilenmesinin normal bir basamağıdır. Osteoporoz ise rezorpsiyon-yapım dengesinin bozulmasıyla kırık riskinin arttığı klinik bir tablodur. [6] [7]
DXA taraması kimlerde düşünülür?
Tarama yaklaşımı ülkelere göre farklılık gösterebilse de, kırıkları önleme amacıyla 65 yaş ve üzerindeki kadınlarda taramanın önerildiği açıkça belirtilir. Postmenopozal daha genç kadınlarda ise risk faktörleri varsa tarama düşünülür. [8]
Kalsiyum ve D vitamini almak tek başına yeterli mi?
Kalsiyum ve D vitamini kemik sağlığı için temel taşlardır; ancak tek başına “her durumda” yeterli kabul edilmez. [10] [11] Risk düzeyi yüksek kişilerde hekim, düşme önleme stratejileri, egzersiz ve gerekiyorsa ilaç tedavisini birlikte planlar. [22]
Ortodontik tedavi kök rezorpsiyonuna kesin yol açar mı?
Hayır. Kök rezorpsiyonu, ortodontik tedavinin bilinen olası etkilerinden biridir; ancak herkeste aynı düzeyde görülmez. Uygulanan kuvvet, tedavi süresi ve bireysel biyolojik farklılıklar riski etkileyebilir. [15]
Periodontitis kaynaklı kemik kaybı tamamen geri gelir mi?
Periodontitis tedavi edilmezse kemik kaybı ilerleyebilir. Tedavi ve iyi ağız hijyeni ile iltihap kontrol altına alınabilir; ancak kaybedilen destek dokusunun geri kazanımı olguya göre değişir ve hekim tarafından değerlendirilir. [14]
Diş kaybından sonra çene kemiğinde rezorpsiyon olur mu?
Evet. Diş kaybı sonrası dişi taşıyan alveol kemiği, üzerindeki fonksiyonel uyarının azalmasıyla zaman içinde hacim kaybedebilir. Bu, fizyolojik bir süreç olarak kabul edilir ve özellikle ilk aylarda daha belirgin olabilir. [25]
Diş çekimi sonrası kemik kaybı her zaman aynı hızda mı olur?
Hayır. Kemik kaybının hızı kişiden kişiye değişebilir; genel sağlık durumu, periodontal hastalık öyküsü, sigara kullanımı ve bölgesel anatomik farklar süreci etkileyebilir. [13] Bu nedenle diş kaybı sonrası planlama ve takip, ağız içi değerlendirme ile kişiselleştirilir. [26]
Periodontal hastalık ile osteoporoz arasında doğrudan bir bağ var mı?
Her iki tabloda da kemik kaybı kavramı öne çıksa da, mekanizmaları ve tedavi yaklaşımları farklıdır. Periodontitis öncelikle plak kaynaklı iltihabi bir süreçtir ve diş çevresindeki dokuları hedefler. [14] Osteoporoz ise tüm iskelette kırık riskini artıran sistemik bir durumdur. [7] Bazı çalışmalarda ortak risk faktörleri (sigara, yaş, kronik inflamasyon) üzerinden ilişkiler tartışılsa da, tek başına biri diğerinin tanısı yerine geçmez. [7] [13]
Dişte ani kısalma, sallanma veya açıklanamayan ağrı olursa ne yapılmalı?
Bu tür değişiklikler rezorpsiyon dahil pek çok sorunun belirtisi olabilir. Evde “beklemek” yerine, kısa sürede diş hekimine başvurmak en doğru yaklaşımdır. Çünkü diş rezorpsiyonunda erken tanı, doku kaybını sınırlamak açısından belirleyicidir. [17]
Kaynaklar
- [1] Abbott PV. Tooth resorption (clinical classification). PubMed: https://pubmed.ncbi.nlm.nih.gov/?term=Abbott+tooth+resorption+clinical+classification
- [2] StatPearls. Histology, Osteoclasts. NCBI Bookshelf: https://www.ncbi.nlm.nih.gov/books/?term=Histology%2C+Osteoclasts+StatPearls
- [4] Duan X, et al. V-ATPases and osteoclasts (review). PubMed: https://pubmed.ncbi.nlm.nih.gov/?term=V-ATPases+osteoclasts+review
- [5] Walsh MC, Choi Y. Biology of the RANKL–RANK–OPG system. PubMed Central search: https://pmc.ncbi.nlm.nih.gov/?term=RANKL+RANK+OPG+system
- [6] StatPearls. Physiology, Bone Remodeling. NCBI Bookshelf: https://www.ncbi.nlm.nih.gov/books/?term=Physiology%2C+Bone+Remodeling+StatPearls
- [7] Osteoporosis pathophysiology and therapeutic options (review). PubMed Central search: https://pmc.ncbi.nlm.nih.gov/?term=osteoporosis+pathophysiology+therapeutic+options+review
- [8] U.S. Preventive Services Task Force. Osteoporosis screening recommendation: https://www.uspreventiveservicestaskforce.org/uspstf/recommendation/osteoporosis-screening
- [9] NIAMS. Bone mineral density tests (T-skoru ve yorumlama): https://www.niams.nih.gov/health-topics/osteoporosis/advanced
- [10] NIH Office of Dietary Supplements. Calcium (Consumer): https://ods.od.nih.gov/factsheets/Calcium-Consumer/
- [11] NIH Office of Dietary Supplements. Vitamin D (Consumer): https://ods.od.nih.gov/factsheets/VitaminD-Consumer/
- [12] World Health Organization. Physical activity (fact sheet): https://www.who.int/news-room/fact-sheets/detail/physical-activity
- [13] World Health Organization. Oral health (fact sheet): https://www.who.int/news-room/fact-sheets/detail/oral-health
- [14] CDC. Periodontal (gum) disease: https://www.cdc.gov/oralhealth/conditions/periodontal-disease.html
- [15] Systematic review: Orthodontically induced root resorption risk factors. PubMed search: https://pubmed.ncbi.nlm.nih.gov/?term=orthodontically+induced+root+resorption+risk+factors+systematic+review
- [16] Thomas P, et al. An Insight into Internal Resorption. PubMed Central search: https://pmc.ncbi.nlm.nih.gov/?term=An+Insight+into+Internal+Resorption
- [17] Aidos H, et al. Root resorption classifications (narrative review). PubMed search: https://pubmed.ncbi.nlm.nih.gov/?term=Root+resorption+classifications+Aidos
- [18] NICE. Dental recall: recall interval between check-ups (CG19): https://www.nice.org.uk/guidance/cg19
- [19] Endotext. Glucocorticoid-Induced Osteoporosis. NCBI Bookshelf: https://www.ncbi.nlm.nih.gov/books/?term=Glucocorticoid-Induced+Osteoporosis+Endotext
- [20] Endotext. Primary Hyperparathyroidism. NCBI Bookshelf: https://www.ncbi.nlm.nih.gov/books/?term=Primary+Hyperparathyroidism+Endotext
- [21] NIAMS. Paget’s disease of bone: https://www.niams.nih.gov/health-topics/pagets-disease-bone
- [22] Long-term treatment of postmenopausal osteoporosis (review). Endocrinology and Metabolism (2021): https://www.e-enm.org/journal/view.php?doi=10.3803/EnM.2021.301
- [23] UK Government. Delivering Better Oral Health (prevention toolkit): https://www.gov.uk/government/publications/delivering-better-oral-health-an-evidence-based-toolkit-for-prevention
- [24] International Society for Clinical Densitometry (ISCD). Official Positions (Adult): https://iscd.org/learn/official-positions/adult-positions/
- [25] Avila-Ortiz G, et al. Alveolar ridge changes after tooth extraction / ridge preservation (review). PubMed search: https://pubmed.ncbi.nlm.nih.gov/?term=Avila-Ortiz+alveolar+ridge+preservation+tooth+extraction
- [26] Alveolar ridge preservation concepts and controversies (review). PubMed search: https://pubmed.ncbi.nlm.nih.gov/?term=alveolar+ridge+preservation+concepts+controversies
...
Yasal Uyarı ve Sorumluluk Reddi: Bu blogda yer alan tüm içerikler yalnızca genel bilgilendirme amaçlıdır ve yayınlandığı tarihteki mevcut bilimsel verilere dayanarak hazırlanmıştır. Söz konusu bilgiler, profesyonel tıbbi tavsiye, teşhis veya tedavi yerine geçmez. Sağlığınızla ilgili herhangi bir soru, endişe veya ihtiyaç durumunda, lütfen bir doktora ya da yetkin bir sağlık kuruluşuna başvurunuz. Bu blogda sunulan bilgilerin kullanımı tamamen okuyucunun sorumluluğundadır. Blog sahibi, yazarlar veya bağlı kuruluşlar, bu içeriklerin doğruluğu, güncelliği veya eksiksizliği konusunda herhangi bir garanti vermez ve bu bilgilerin kullanımından kaynaklanabilecek doğrudan veya dolaylı herhangi bir zarar veya kayıptan sorumlu tutulamaz. Sağlık durumunuza ilişkin kararlar almadan önce, mutlaka bir sağlık uzmanına danışmanız gerektiğini unutmayınız. Bu blog, tıbbi bir hizmet sunmamakta olup yalnızca bilgilendirme amacı taşımaktadır.
Housing Filtre Setleri
Arıtma Cihazı Filtre Setleri
Duş Filtreleri
Housing Filtreler
Membran Filtreler
UV Filtreler
Yıkanabilir Filtreler
Analiz Cihazları
Basınç Ayarlayıcılar
Çekvalfler
Clipsler
Fittingsler
Hortum
Housing Anahtarları
Housingler
Musluk
Pompa
Su Analiz Kitleri ve Cihazları
Switchler & Solenoid Valfler
Tank
Valfler
Aktif Karbon Filtreleri
Arsenik Arıtma Sistemleri
Biyolojik Arıtım Sistemleri
Elektrodeiyonizasyon Sistemleri
Endüstriyel Ekipmanlar
Gri Su Arıtma Sistemleri
MBR Arıtım Sistemleri
Ultrafiltrasyon Sistemleri
Yumuşatma Sistemleri